Synthesizing Human DNA: Scientific and Ethical Boundaries

What Is the Synthetic Human Genome Project?

by Dr. Andrew Fabich on November 8, 2025
Featured in Answers in Depth

Abstract

A team of dedicated scientists published the human genome sequence in 2001 as the culmination of over a decade of work.1 Not only have we seen many medical breakthroughs from this effort, but their work reinforced that we are all members of one race: the human race (as known from Scripture). Alongside sequencing the human genome, a new field of science emerged known as synthetic biology.2 The goal of synthetic biology is to use engineering principles in biological applications such as building a virus from scratch to destroy certain bacteria. 3 While synthetic biology promises many medical advances, Christians must be aware of its limits to what it can promise in light of the boundaries of Scripture. Recently, a group announced what is called the Synthetic Human Genome Project, which already acknowledges a need for ethical guidance on what man can do (i.e., the field is so new that there are no current ethical boundaries in place from a secular perspective). We must turn to Scripture for principles that address the promises and limitations of the Synthetic Human Genome Project.

How Did We Get Here?

After discovering the DNA double helix structure in April 1953, researchers shifted their focus to identifying the necessary parts for DNA to replicate in a test tube. Once all the parts were identified by 1986, we combined them together in a rapid process producing billions of DNA molecules overnight in a process called polymerase chain reaction (PCR ) (Figure 1). The reason PCR is significant for the synthetic human genome project is that PCR relies on synthesizing primers that are significantly shorter than an entire genome. However, what is the limit to how much DNA can be synthesized before it becomes unbiblical? We must first understand some of the nature behind what these primers are and (more importantly) how they are used.

One of the parts needed for PCR amplification is a short, specific DNA fragment called a primer. The primer provides a free 3’-hydroxyl for DNA polymerase to amplify a target sequence. Molecular biologists routinely use PCR to make advances in science, medicine, and forensics. When I design primers for PCR using E. coli, I design them between 20 and 50 base pairs in length and send the sequence to a biotech company for synthesis in the lab. In the lab, we have chemical methods for synthesizing a desired primer sequence of any length.4

Polymerase chain reaction illustration

Figure 1. Polymerase chain reaction (PCR). (Credit: Enzoklop, CC BY-SA 3.0, via Wikimedia Commons)

While we have been designing relatively short primers for PCR since the 1970s, recent advances in biotechnology now allow us to design genomes for an entire organism. Genomes synthesized like this are called synthetic because it was synthesized in a lab instead of being made entirely by a cell. In fact, the world’s first synthetic cell was constructed this way and called JCVI-syn3.0.5 While there are many biblical issues associated with constructing this first synthetic cell,6 newer technology has pushed the ethical boundaries further with the intent of synthesizing entire human genomes for use in different applications.7

The Synthetic Human Genome Project is a project based on synthesizing a human genome sequence for a variety of medical and scientific purposes.8 Dr. Julian Sale, one of the scientists involved in this Wellcome Trust project, has stated their goals briefly as follows,

We are looking at therapies that will improve people’s lives as they age, that will lead to healthier aging with less disease as they get older. We are looking to use this approach to generate disease-resistant cells we can use to repopulate damaged organs, for example in the liver and the heart, even the immune system.9

These goals are admirable and sound like they can help many people. However, the issue with today’s technology is that we are attempting to do things never done before without consulting Scripture. We must carefully consider all the issues with the Synthetic Human Genome Project before blindly moving forward into areas condoned by God.

Synthesizing an entire human genome has several issues. First, how long must a given DNA sequence be synthesized before it crosses an ethical line? Synthesizing a primer for a routine PCR is one thing, but what about synthesizing an entire genome—why is that different? Then, assuming scientists are successful in synthesizing an entire human chromosome or a large percentage of a chromosome, how will it be used? Even though there are possible medical applications using a synthetic human genome, could this technology be used, for example, to attempt sex changes? Lastly, there are no explicit Bible verses about synthesizing DNA, so what biblical principles can we apply?

Adding a Chromosome: Applications

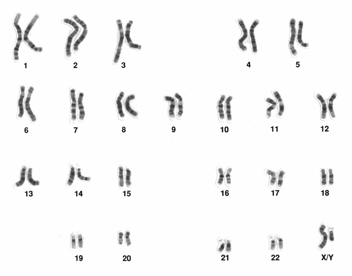
The most promising application of a synthetic genome approach could be synthesizing a single chromosome for individuals missing a particular chromosome (called an aneuploidy). An aneuploidy happens when a chromosome does not segregate properly during gametogenesis, resulting in either one extra or one less chromosome in the gamete (sperm or egg) produced (there should be only one chromosome pair in each gamete, with humans having 23 pairs). Severe problems happen during human development when only one chromosome is lost, so most aneuploidies have only 45 chromosomes instead of the normal 46 (Figure 2). If the number of chromosomes goes below 45, human development often ends in miscarriage.10

The subset of aneuploidies with one missing chromosome is called monosomy (based on mono- meaning one and -soma meaning body/chromosome). When there is one extra chromosome, it is called trisomy. Having one extra or missing chromosome seems complicated enough, but it is important to distinguish between chromosomes determining the sex/gender (aka sex chromosomes) from chromosomes required for everything else (aka autosomes). Each autosome has a special number based on size, with chromosome 1 being the largest to chromosome 22 being the smallest (from inspecting karyotypes by eye, but we now know that the smallest chromosome is actually 21).11, 12 There are two sex chromosomes: X and Y. Humans are diploid organisms since we carry two sets of each chromosome. Since the sex chromosomes are different, an XX individual is female, while an XY individual is male.

Human male karyotype

Figure 2. Karyotype displaying 22 pairs of chromosomes and two sex chromosomes (bottom right) indicating a human male with a normal number of chromosomes. A karyotype is a spread of chromosomes from a cell that is scanned by a computer program to reveal how many pairs of chromosomes an organism has. Humans have 23 pairs of chromosomes (including one pair of sex chromosomes). (Credit: National Human Genome Research Institute, Public domain, via Wikimedia Commons)

Term Definition
Autosome A chromosome that isn’t a sex chromosome; humans have 44, or 22 pairs
Aneuploidy At least one extra or one less chromosome, rather than the normal 46
Monosomy The presence of a missing chromosome
Trisomy The presence of an extra chromosome

The most common monosomy occurs when an individual has all 22 pairs of autosomes with only one X chromosome and is called Turner’s syndrome. Individuals with Turner’s syndrome are considered XO for their karyotype (where the O indicates a missing sex chromosome). Since there is no Y chromosome, these individuals develop as females, experiencing the following symptoms in childhood/adolescence: smaller in stature, below average height/weight, chronic ear infections, hearing issues, learning difficulties, and underdevelopment of the ovaries.13 In adulthood, women with Turner’s syndrome experience irregularities in menstruation, hearing issues, heart issues, and stature.

Individuals with a monosomy due to a missing sex chromosome are extremely rare, but even more rare are individuals missing an entire autosome because those are usually embryonic lethal (i.e., stillborn). In some instances, an autosome may be missing only a significant portion of a chromosome (known as a chromosome arm), as is the case with cri du chat syndrome, associated with a partial chromosome 5.14

In theory, use of a synthetic human chromosome to “reverse the curse” is something worth considering as good use of technology that God has given us.

It may be possible to synthesize a portion of or an entire chromosome to administer to each cell of the developing person to alleviate suffering for individuals with Turner’s syndrome or cri du chat syndrome . However, restoring lost genetic information remains speculative as a technology because none of this has ever been tested in humans. In theory, use of a synthetic human chromosome to “reverse the curse” is something worth considering as good use of technology that God has given us. However, the slippery slope of any technology like this is highlighted as other possibilities are addressed below. Of those possibilities, “making” an entire cell using your own DNA is addressed in the next section.

Making a Whole Cell for Transfer

The Nobel Prize in Physiology or Medicine for 2012 was awarded for something called induced pluripotent stem cells. Induced pluripotent stem cells (iPS cells) are stem cells that can develop into any of the cell types in the human body, but they are obtained from a fully developed cell that is exposed to a variety of growth factors that reprograms it into an earlier developmental stage (i.e., stem cell) (Figure 3).

The clear benefit of an iPS cell is that there is no need to destroy a human embryo through abortion to harvest embryonic stem cells (thus, destroying a human). The iPS cell uses one of your own cells and essentially reprograms it to become an embryonic stem cell without going through the embryonic stage. However, using a synthetic human genome with the technology of an iPS cell requires further consideration of how this might work.

Human iPS cell process diagram

Figure 3. Human somatic (body) cells can be reprogrammed into iPS cells, which are stem cells that can then develop into other types of human somatic cells. (Credit: Humanips, CC BY-SA 3.0, via Wikimedia Commons)

If someone had a major chromosomal abnormality (e.g., an aneuploidy or otherwise), the person could have a cell sampled (e.g., from the skin) and reprogrammed into an iPS cell. At the iPS cell stage, that cell’s genetics could be reprogrammed using a technology called CRISPR.15 A cell that has been reprogrammed by CRISPR would be serologically identical to the person’s original cell and would not cause tissue rejection or an allergic reaction. One specific way that this could be useful might be for introducing a normal version of a gene on a chromosome for an individual with some chromosomal abnormality. However, there would not be much more of an advantage for pursuing an iPS cell for reprogramming than in the previous section of adding back a normal chromosome. Modifying an iPS cell with a single chromosome is one issue, but removing the entire genome from an iPS cell (to introduce an entirely new cell) presents a completely different issue with complications.

Instead of changing one chromosome as previously described, it is possible to remove an entire genome from an iPS cell and replace that genome with a genome synthesized from scratch. In doing so, we could effectively introduce a designer genome to change our physical appearance and not just improve our health. The idea of a designer genome is only possible through the technological advancements leading to the Synthetic Human Genome Project. Up until recently, we have not been able to synthesize long stretches of DNA or introduce them using iPS cells. However, we now have the combined advancements in synthesizing genomes combined with iPS cells and can address topics like eye color or hair color. Instead of getting colored contacts or dyeing hair, it could be that new iPS cells are introduced with a new genome that expresses a desired eye or hair color (eliminating the need for contacts or hair dye). iPS cells reprogrammed with the desired eye or hair color could be introduced and offer new colors to individual traits without risking additional side effects from things like tissue rejection.

On a practical level, though, trying to synthesize an entire human genome and select desirable features seems much more grandiose currently because we know so little about the human genome. While we are not bacteria, the best-known creature on the planet is Escherichia coli. Of all the different E. coli we have studied and whose genomes we have obtained, we only know roughly half of what its genome actually does. If we only know half of what the DNA does in E. coli, why do we think we can manipulate an entire human genome without problems? If someone were to proceed with synthesizing an entire human genome, it would stand to reason that the portions we know something about would be manipulated and the rest left alone. But that begs the question of what if the changes we make with genes we know have an effect on other genes somewhere else that we don’t know about? There would have to be certain features targeted for this approach while leaving alone the vast majority of our genomes.

If we only know half of what the DNA does in E. coli, why do we think we can manipulate an entire human genome without problems?

For example, it might be impossible to eliminate wrinkles, but other types of plastic surgery procedures might be possible at the cellular level. In that sense, plastic surgery could nearly disappear as a medical discipline and get replaced with this kind of technology. But much of the power behind choosing our own genome for a designer version of ourselves highlights many dilemmas we already face in the field of plastic surgery. Plastic surgery is not inherently wrong on its own, but the heart behind why we choose plastic surgery is where ethical questions arise. No one questions whether a burn victim should receive a skin graft via plastic surgery, but is there a clear line defining when a tummy tuck is really necessary? Though changing an entire genome doesn’t appeal to many, some might consider it. We need to guard ourselves using biblical principles (see the last section). While some might want to make a designer version of himself/herself, many plastic surgeries performed today for sex changes might be achievable through exchanging a synthetic chromosome.

Exchanging Gender-Determining Chromosomes

Without a doubt, the most concerning application of this technology would be a chromosome exchange. A chromosome exchange could happen when a chromosome is removed and replaced with a synthesized chromosome. In today’s culture, exchanging chromosomes is controversial primarily because of the sex chromosomes.

Developmentally, gender is determined based on whether the individual is XX (female) or XY (male). At a certain developmental stage, individuals with a Y chromosome produce a protein called Testis Determining Factor (TDF) from a single gene (SRY, for sex-determining region Y) found on the Y chromosome. In approximately 1 in 20,000 newborn males (which is extremely rare, only about 0.005% of all births), the SRY gene moves from their dad’s Y chromosome onto the X chromosome (via nonhomologous recombination) that he passes on, creating the potential for some of his offspring to be male even with two X chromosomes (Fig. 4).16 These individuals are considered male because the SRY gene is present, even though it is not on the correct chromosome.

To change gender using a synthetic chromosome, there are two possibilities: (1) remove an X chromosome and introduce an entire Y chromosome or at least large enough portions that contain the SRY gene (female to male) or (2) remove a Y chromosome and introduce an X chromosome (male to female). In effect, this would be taking the idea of a sex change from mutilating a person’s reproductive anatomy to placing specific DNA into each cell (resulting in a “sex change”).

SRY gene translocation illustration

Figure 4. In approximately 1 in 20,000 newborn males, the SRY gene moves from their dad’s Y chromosome onto the X chromosome that he passes on. (Credit: Accountalive, CC BY-SA 3.0, via Wikimedia Commons, text modified)

The technology currently available to remove an entire chromosome exists and uses CRISPR/Cas technology. While it has not happened in human clinical trials, the idea would be to selectively mark one of the X chromosomes or the Y chromosome for destruction via the CRISPR/Cas technology.17 There are people already with only one X chromosome, so leaving a person temporarily with only one X chromosome should not be lethal. Then, one could synthesize an entire X chromosome or Y chromosome to replace the missing chromosome desired and, theoretically, change the sex of the individual. The goal in this hypothetical procedure would be to exchange someone’s chromosomes in every cell of that individual.18

Before considering the biblical guidelines, there are some scientific issues to address. Attempting to change the DNA of every cell does not guarantee that 100% of the cells will undergo a chromosome exchange. What makes a chromosome exchange different from curing sickle-cell anemia (using CRISPR/Cas to change a single nucleotide) is that only the blood cells producing hemoglobin need to be changed for the healthy gene to work; whereas a chromosome exchange would have to include every cell in the body for a complete sex change to occur. 19 Furthermore, those with sickle-cell anemia only need a certain percentage of their red blood cells producing the normal hemoglobin to experience recovery. When introducing foreign DNA to cells in the lab, it is extremely rare to get the majority of the cells taking up the foreign DNA.

As a result of pursuing a chromosome exchange, it is highly unlikely that 100% of the cells will be transformed. In that scenario, individuals will likely suffer the effects of a small number of cells being programmed to produce one set of chemicals while the other cells produce a different chemical (the most potent chemicals being hormones like testosterone or estrogen). Cell signaling would be impaired, such as with individuals receiving hormone replacement therapy (e.g., women undergoing transition to men by taking testosterone usually have cardiovascular and cardiac issues). More than likely, the physical complications from mixed messaging to cells will result in health problems we have never seen.

One solution to this issue might be having the chromosome exchange as young as possible. If you think of it, the ultimate goal would be to have this chromosome exchange occur at the single-cell stage to prevent any of the unknown complications resulting from this technology. To make changes at the single-cell stage just begs the question: Did you think God assigned your child’s sex wrong and that is why you feel you should change it? What parent would knowingly reassign the sex of their child if the child is a teenager let alone younger ages ? Parents have a biblical responsibility to make decisions for their children concerning their well-being, but being born one gender is God’s responsibility and not the parent’s responsibility. From this perspective, it seems more like the current gender dysphoria in young children stems from unhappy parents and less with unhappy children. Ultimately, it is only God that decides your gender and no one else—either male or female.

Biblical Admonition for Synthetic Genomes

A tool is only as good as the person using it. CRISPR/Cas technology has the potential to do great good as well as tremendous harm. The question behind whether to use CRISPR/Cas ties directly back to biblical principles.

We must start with the fact that humans are made in the image of God (Genesis 1:26–27). Nothing else in the created order bears God’s image—only humans; therefore, different principles apply to what we can do with this technology on humans. Next, we must see that life begins at fertilization. Several Bible verses support these important principles:

  • Life begins at conception (i.e., fertilization)20:

Behold, I was brought forth in iniquity, and in sin did my mother conceive me. (Psalm 51:5)
  • We exist as persons inside the womb:
For you formed my inward parts; you knitted me together in my mother’s womb. I praise you, for I am fearfully and wonderfully made. Wonderful are your works; my soul knows it very well. (Psalm 139:13–14)
  • God knows us before we are born:
Before I formed you in the womb I knew you, and before you were born I consecrated you; I appointed you a prophet to the nations. (Jeremiah 1:5)
  • God works in the process of forming us:
Thus says the Lord who made you, who formed you from the womb and will help you. (Isaiah 44:2)
  • The life of the unborn was protected by law:
When men strive together and hit a pregnant woman, so that her children come out, but there is no harm, the one who hit her shall surely be fined, as the woman’s husband shall impose on him, and he shall pay as the judges determine. But if there is harm, then you shall pay life for life, eye for eye, tooth for tooth, hand for hand, foot for foot. (Exodus 21:22–24)
  • Ideally, children are the blessed result of sex between one man and one woman in a marriage covenant:
Therefore a man shall leave his father and his mother and hold fast to his wife, and they shall become one flesh. And the man and his wife were both naked and were not ashamed. (Genesis 2:24–25)
Behold, children are a heritage from the Lord, the fruit of the womb a reward. (Psalm 127:3)
Honor your father and your mother, that your days may be long in the land that the Lord your God is giving you. (Exodus 20:12)
The goal of practicing medicine biblically is to undo or mitigate the harmful effects of living in a fallen world.

Besides knowing that we bear God’s image and that our existence begins at fertilization, the question remains of how much we should interfere with human development. While the Hippocratic oath taken by medical doctors is rooted in a pagan worldview, its practice can only consistently operate from within a biblical worldview. The goal of practicing medicine biblically is to undo or mitigate the harmful effects of living in a fallen world. We cannot undo the ultimate physical consequence of living in a fallen world (i.e., physical death), but there is sufficient ground in Scripture to alleviate some of the negative effects of living in a fallen world.

Do not withhold good from those to whom it is due, when it is in your power to do it. (Proverbs 3:27)
So whoever knows the right thing to do and fails to do it, for him it is sin. (James 4:17)

Conclusion

While it is clearly sin to withhold good from someone, there is a lot of gray area within Scripture for things that often fall in the category of different fields of medicine. Changing someone’s DNA would currently be considered a field of medicine (and we can technically cure sickle-cell anemia for certain individuals), there are some comparisons worth being made between synthetic genomes and the field of plastic surgery. Sometimes, plastic surgery is needed, but many plastic surgery procedures are not necessary, and the debate may be whether someone’s mental health could improve from such a procedure. We must bring these requests to God on an individual basis because plastic surgery (like a synthetic genome) can bring great good as well as tremendous harm.

In terms of synthetic genomes, one particularly clear admonition in Scripture is that we are made in God’s image. Nowhere in Scripture do we find the modern terms “meiosis” or “unequal distribution of chromatids during metaphase,” but we do see in Scripture that life begins in the womb and that murder is wrong . We also must balance the idea of targeting someone’s DNA to cause a specific change with the possibility of unintentionally changing someone’s DNA nonspecifically (causing a mutation somewhere else in the genome). While side effects are always possible for any medical intervention, we must be especially careful in attempting to modify someone’s DNA for any reason.

Just because we can do something does not mean that we always should do something: Manipulating someone’s DNA falls in this category.

However, this is precisely the point where the proverbial line gets blurred between a harmful disease and something for purely vain or selfish reasons. As a good rule of thumb, just because we can do something does not mean that we always should do something: Manipulating someone’s DNA falls in this category. While there is tremendous opportunity to reverse the negative effects of the curse, we must proceed carefully and set up boundaries that prevent designer humans. There is only one human designer: God. God made us more than just physical beings (down to individual nucleotides of our DNA), but he told us that we must take care of these physical bodies he gave us (1 Corinthians 6:19–20).

Other important boundaries include the distinction between the two genders: God made them either male or female—and continues doing so today (Genesis 1:26–28). Anyone trying to change genders from birth will never fully succeed in replacing all the DNA in every cell of the body—thus, there remains no such thing as a complete sex change (as is the case today). If we begin altering someone’s DNA to express more of one particular sex hormone, there will be downstream genetic effects due to the nature of hormones. The hormonal program begins even at the single-cell stage, so there is no way to undo those effects in a human after birth. Attempting a sex change in a preadolescent child will cause major problems that will never resolve the true nature of this and all of mankind’s problems: All of us are sinners in a broken world in need of a Savior.

Ultimately, we can only receive true healing from issues like these if we treat the true source of the problem. The only cure for our spiritual condition is a right relationship with our Creator Redeemer. We must live submitted to the authority of the Holy Spirit with a loving heavenly Father who restores everything broken and makes beauty from the ashes of our lives.

Answers in Depth

2025 Volume 20

Answers in Depth explores the biblical worldview in addressing modern scientific research, history, current events, popular media, theology, and much more.

Browse Volume

Footnotes

  1. Venter, J. C., M. D. Adams, E. W. Myers, P. W. Li, R. J. Mural, and G. G. Sutton et al., “The Sequence of the Human Genome,” Science 291, no. 5507 (2001): 1304–1351, https://doi.org/10.1126/science.1058040.
  2. Elowitz, M. B., and S. Leibler, “A Synthetic Oscillatory Network of Transcriptional Regulators,” Nature 403, no. 6767 (January 2000): 335–338, https://pubmed.ncbi.nlm.nih.gov/10659856/; T. S. Gardner, C. R. Cantor, and J. J. Collins, “Construction of a Genetic Toggle Switch in Escherichia coli,” Nature 403, no. 6767 (January 2000): 339–342, https://pubmed.ncbi.nlm.nih.gov/10659857/.
  3. Hanczyc, M. M, “Engineering Life: A Review of Synthetic Biology,” Artificial Life 26, no. 2 (2020): 260–273, https://doi.org/10.1162/artl_a_00318.
  4. One of the obstacles for the origin of life is that primers are needed for DNA polymerase, but DNA polymerase has to synthesize them—a molecular catch-22 scenario. The length of the DNA primers becomes a significant problem for the origin of life because longer DNA sequences are more difficult to synthesize in the lab. Errors creep in the longer the process is. So if the origin of life requires a genome to come into existence, there are issues with the genome’s size that can prevent the first cell from coming into existence.
  5. Hutchison, C. A., III, R. Y. Chuang, V. N. Noskov, N. Assad-Garcia, T. J. Deerinck, and M. H. Ellisman et al., “Design and Synthesis of a Minimal Bacterial Genome,” Science 351, no. 6280 (2016): https://doi.org/10.1126/science.aad6253.
  6. For more on this topic, there is an excellent article written by Dr. Georgia Purdom, “Have Scientists Created a New Life-Form in the Lab?,” Answers in Genesis, October 8, 2007, https://answersingenesis.org/origin-of-life/synthetic-life/have-scientists-created-a-new-life-form-in-the-lab/, and an article I wrote on a related topic, Dr. Andrew Fabich, “Las Vegas, the Lottery, and the Origin of Life,” Answers in Genesis, July 14, 2016, https://answersingenesis.org/origin-of-life/las-vegas-lottery-and-origin-of-life/.
  7. Ghosh, Pallab, and Gwyndaf Hughes, “Work Begins to Create Artificial Human DNA from Scratch,” BBC, June 25, 2025, https://www.bbc.com/news/articles/c6256wpn97ro.
  8. Admittedly, it is ironic and laughable that many of those same scientists working so hard to synthesize a human genome also believe that it came into existence through random chance processes over billions of years. Fast-forward to today, and we are using our intelligence to design a human genome (intelligent design just keeps coming to the surface even when not directly looking for proof of our designed genome).
  9. Ghosh and Hughes, “Work Begins to Create Artificial Human DNA.”
  10. Cleveland Clinic, “Aneuploidy,” last reviewed August 25, 2022, https://my.clevelandclinic.org/health/diseases/24060-aneuploidy.
  11. Hattori, M., A. Fujiyama, T. Taylor et al., “The DNA Sequence of Human Chromosome 21,” Nature 405 (2000): 311–319, https://doi.org/10.1038/35012518.
  12. My biochemistry professor in graduate school told us that he worked with the team of scientists to begin sequencing the human genome. When describing the process, he said that they started with what was thought to be the smallest chromosome (#22). I. Dunham, A. Hunt, J. Collins et al., “The DNA Sequence of Human Chromosome 22,” Nature 402 (1999): 489–495, https://doi.org/10.1038/990031.
  13. DiGiacinto, J., and J. Herndon, “Turner Syndrome (Monosomy X),” Healthline, last updated June 27, 2023, https://www.healthline.com/health/turner-syndrome#:~:text=Childhood and teenage years,learning difficulties.
  14. Cleveland Clinic, “Cri du Chat Syndrome,” last reviewed August 30, 2022, https://my.clevelandclinic.org/health/diseases/24084-cri-du-chat-syndrome.
  15. For more about the CRISPR technology, I recommend Georgia Purdom, “CRISPR: A Clear-Cut Issue?,” Answers Magazine 16, no 1 (January–March 2021), 68–73, https://answersingenesis.org/genetics/crispr-clear-cut-issue/.
  16. Ergun-Longmire, B., G. Vinci, L. Alonso, S. Matthew, S. Tansil, and K. Lin-Su et al., “Clinical, Hormonal and Cytogenetic Evaluation of 46,XX Males and Review of the Literature,” Journal of Pediatric Endocrinology and Metabolism 18, no. 8 (August 2005): 739–748, https://doi.org/10.1515/jpem.2005.18.8.739.
  17. Hashizume, R., S. Wakita, H. Sawada, S. I. Takebayashi, Y. Kitabatake, and Y. Miyagawa et al., “Trisomic Rescue via Allele-Specific Multiple Chromosome Cleavage Using CRISPR-Cas9 in Trisomy 21 Cells,” PNAS Nexus 4, no. 2 (February 2025): pgaf022, https://doi.org/10.1093/pnasnexus/pgaf022.
  18. The current idea of what we call a sex change via reassignment surgery falls flat because changing anatomy does not change someone’s DNA. Individuals that undergo “sex reassignment” surgery still contain the same XX or XY chromosomes in each cell. Technically, individuals undergoing a sex reassignment surgery have not actually reassigned their gender—only masked it with plastic surgery techniques.
  19. Frangoul, H., D. Altshuler, M. D. Cappellini, Y. S. Chen, J. Domm, and B. K. Eustace et al., “CRISPR-Cas9 Gene Editing for Sickle Cell Disease and β-Thalassemia,” The New England Journal of Medicine 384, no. 3 (2020): 252–260, https://doi.org/10.1056/NEJMoa2031054.
  20. Ken Ham, “Does Human Life Begin at Conception or Fertilization?,” Answers in Genesis, May 5, 2023, https://answersingenesis.org/blogs/ken-ham/2023/05/05/does-human-life-begin-conception-or-fertilization/.

Newsletter

Get the latest answers emailed to you.

Answers in Genesis is an apologetics ministry, dedicated to helping Christians defend their faith and proclaim the good news of Jesus Christ.

Learn more

  • Customer Service 800.778.3390
  • Available Monday–Friday | 9 AM–5 PM ET